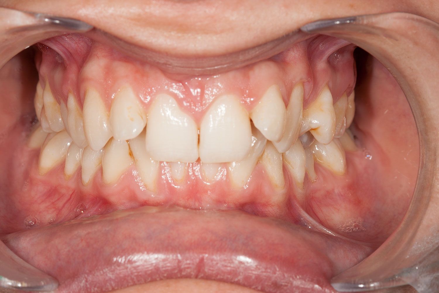
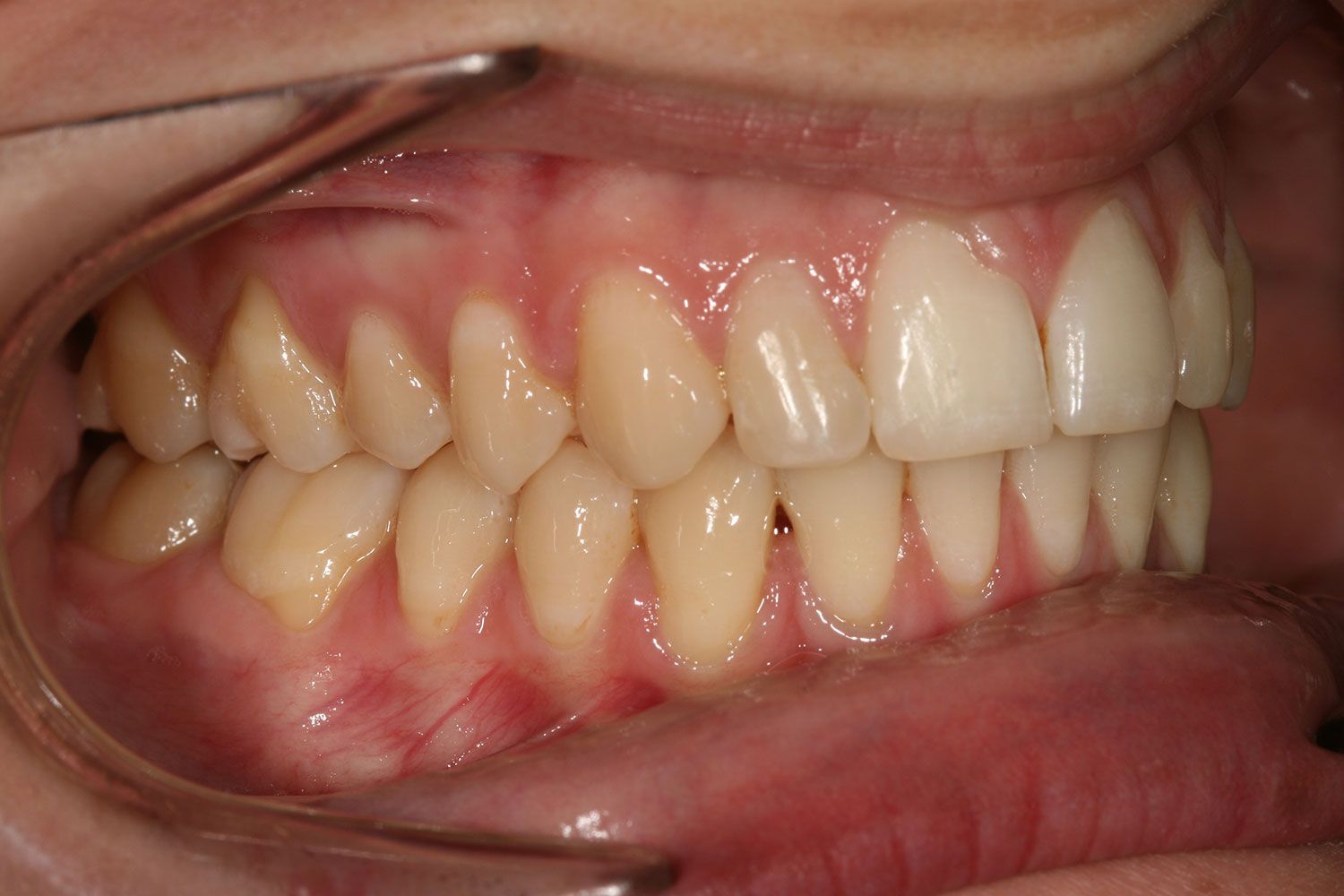
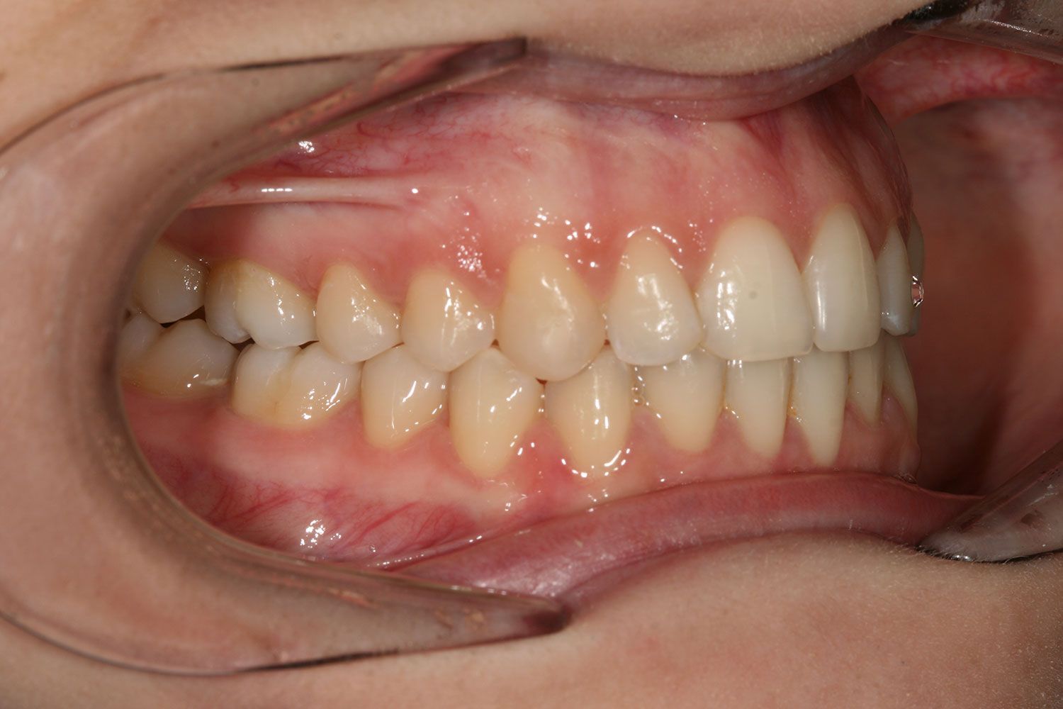
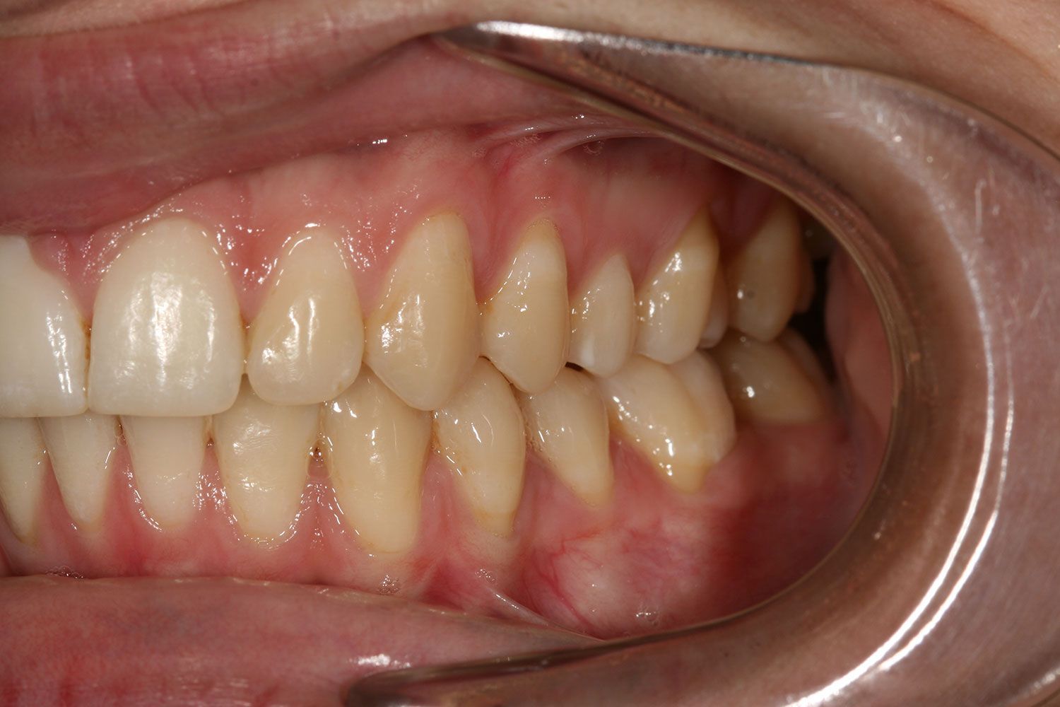
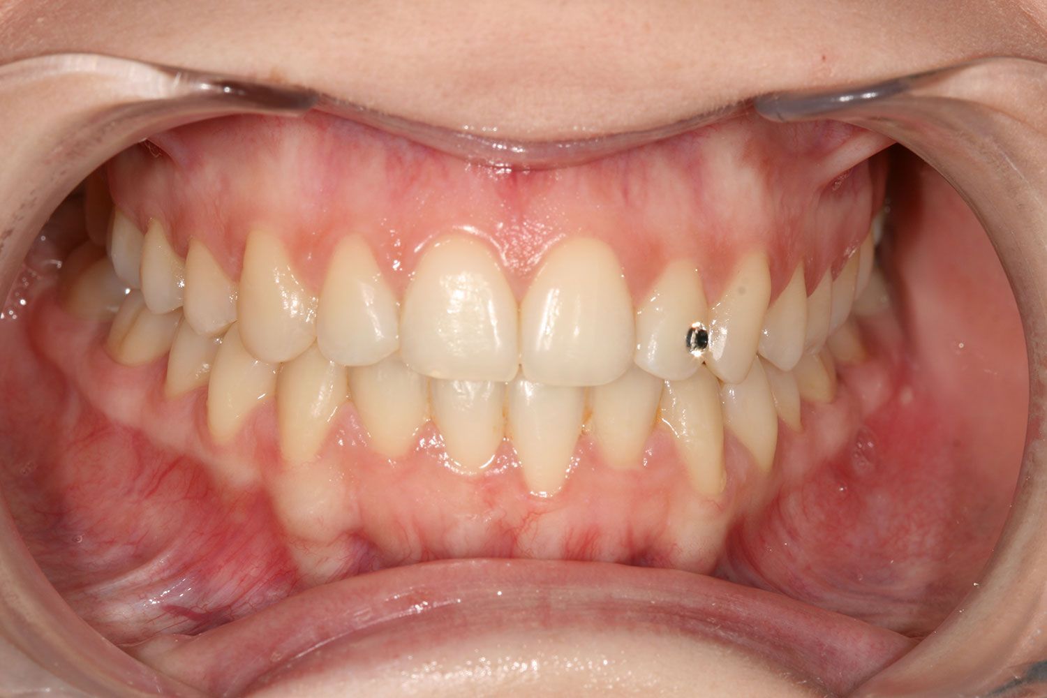
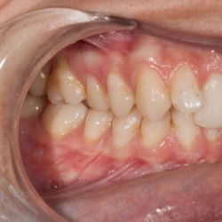
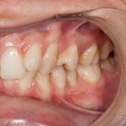
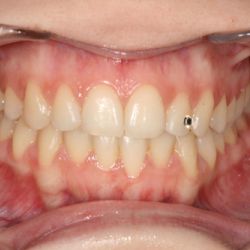
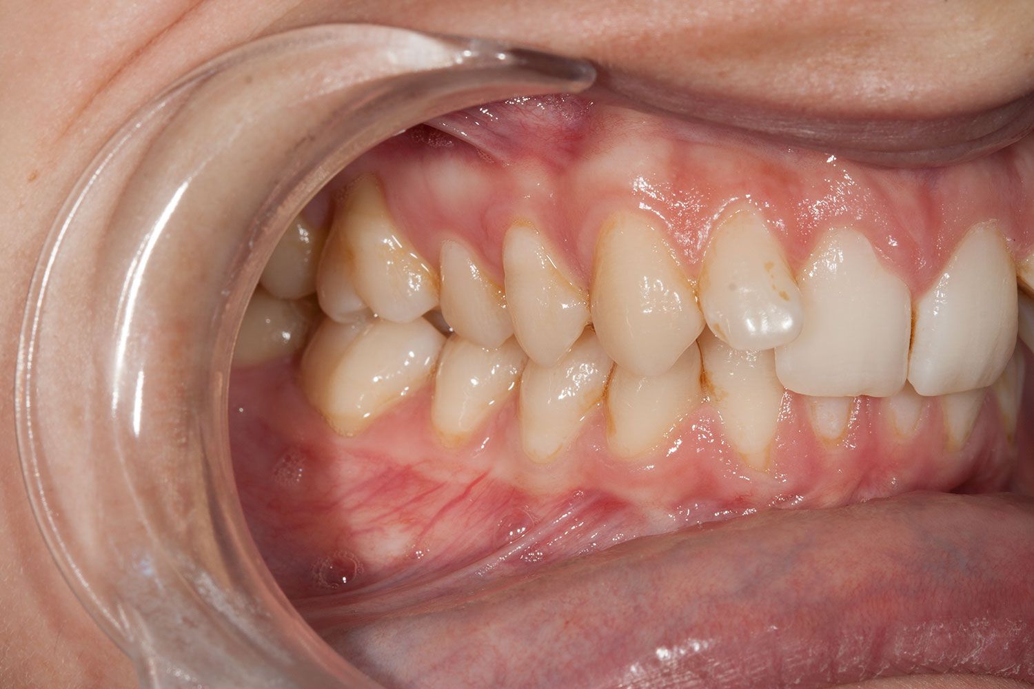
Casos ortodoncia

Ortodoncia en un paciente