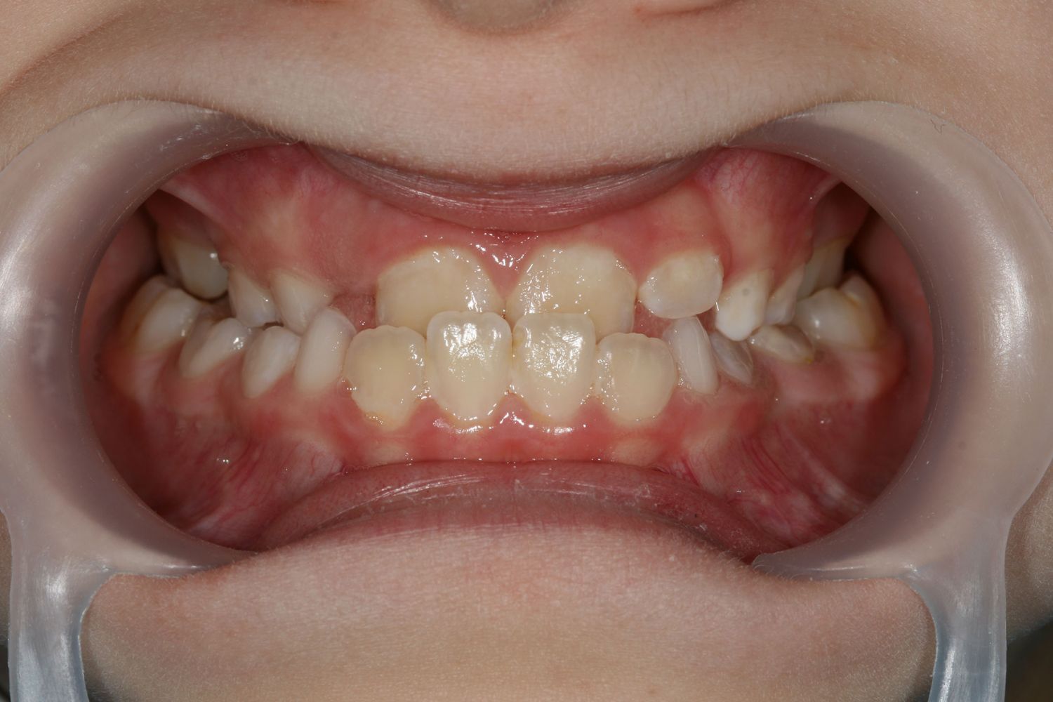
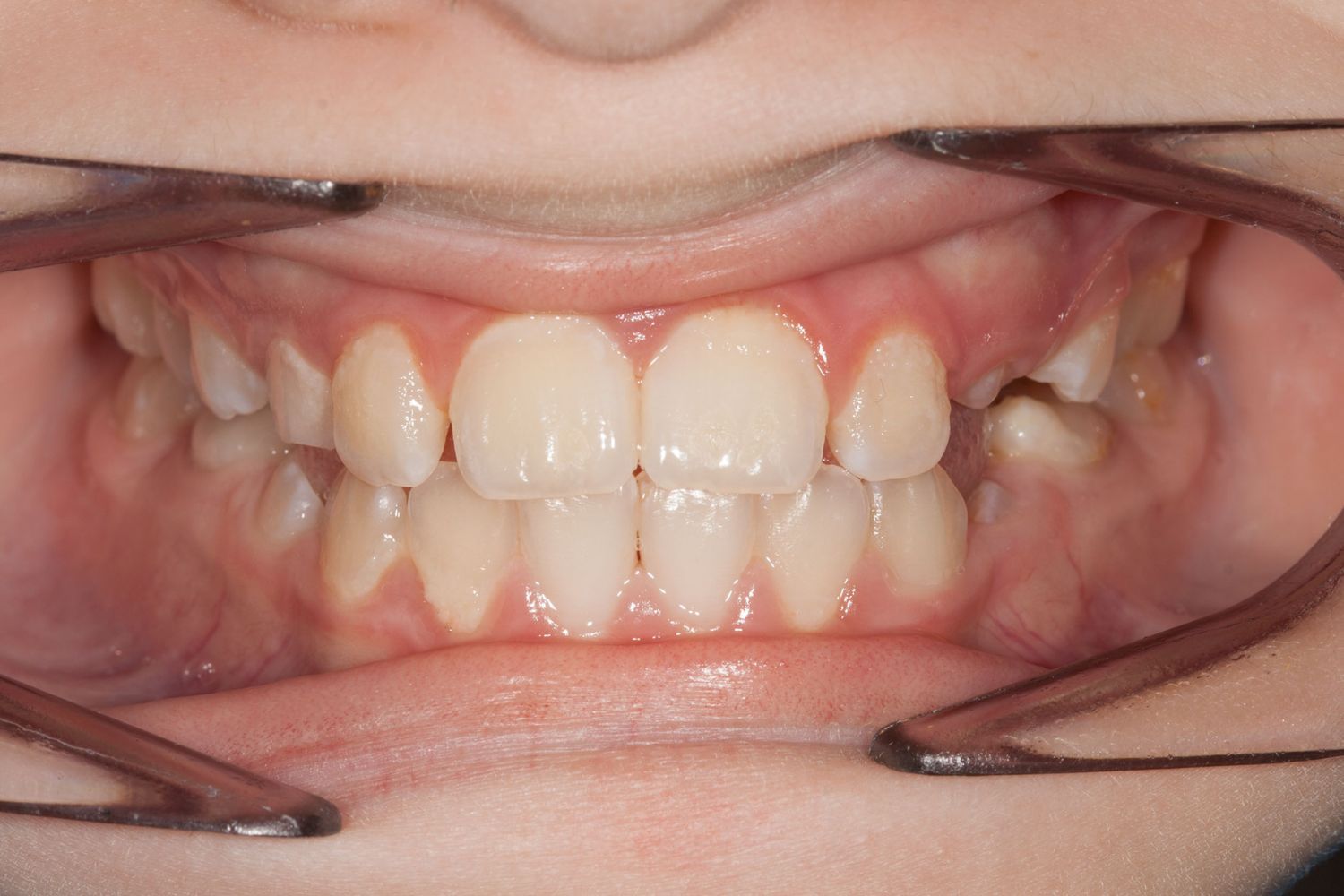
Caso ortopedia y ortodoncia

Ortopedia y ortodoncia en un paciente

Ortopedia ortodoncia transposición