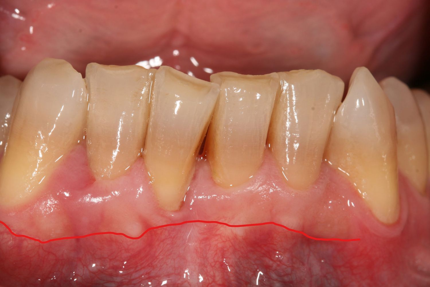
Caso de cirugía periodontal

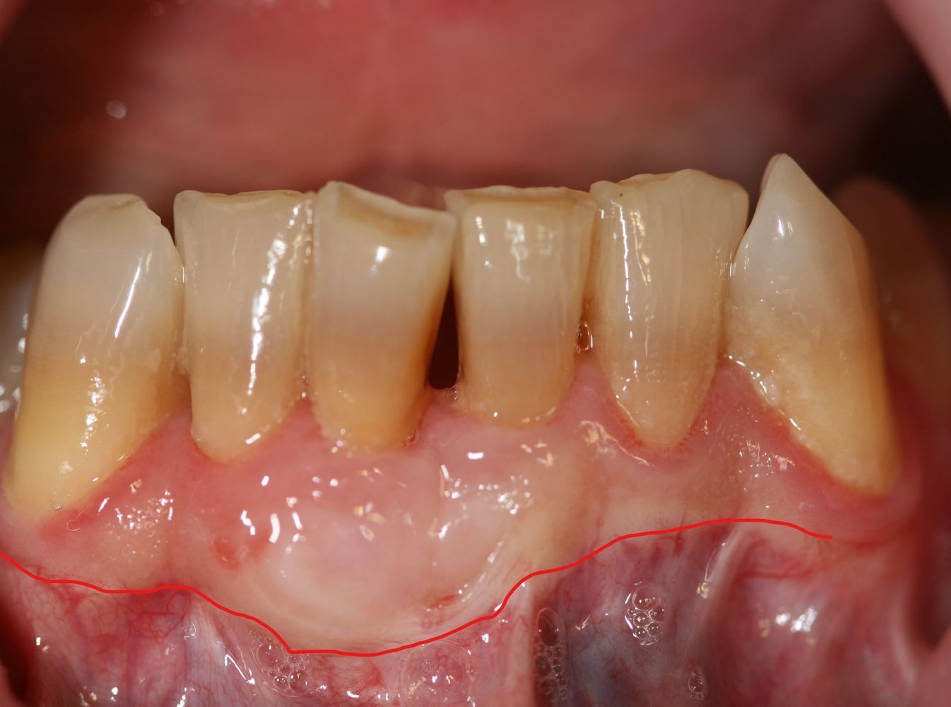
Cirugía periodontal en un paciente

Caso de cirugía periodontal